热门推荐
小龙虾养殖提质增效技术措施
河蟹养殖如何给螃蟹保肝护肠?料里加入它,螃蟹长得快少病害
虾类的高寿命损失:双重环境因素引发大规模死亡
淡水养殖对虾的经验分享
对虾养殖,拌料常常无效!就是你不注意这8点细节!
高温季节对虾养殖常见问题及防控要点
对虾工厂化健康养殖技术
对虾养殖指南:从入门到精通的实操经验
畜牧热门
养殖热门
花卉热门
园林热门
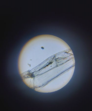
白对虾肠道镜检
“白对虾肠道镜检”通常是指在水产养殖或疾病诊断中,对白对虾(凡纳滨对虾,*Litopenaeus vannamei*)的肠道进行显微镜检查,以观察其结构、寄生虫、病原微生物或异常变化。这种检查常用于诊断虾类的消化系统疾病、寄生虫感染或其他病理状态。
以下是关于白对虾肠道镜检的一些常见内容和步骤:

一、白对虾肠道镜检的目的
1. 检测寄生虫:如纤毛虫、线虫、孢子虫等。
2. 观察肠道组织病变:如炎症、溃疡、坏死等。
3. 判断营养状况:通过观察肠道内容物判断摄食情况。
4. 发现细菌或真菌感染:如弧菌、链球菌等。
5. 评估健康状态:作为虾类健康状况的一个指标。
二、镜检前的准备
1. 样本采集
选择健康的或疑似患病的白对虾。
从虾体中取出肠道(一般为中肠部分)。
用生理盐水或 PBS 漂洗,去除残留内容物。
2. 固定与保存
若需长期保存,可用福尔马林固定(10%中性缓冲甲醛)。
若需活体观察,可直接进行湿片检查。
三、镜检方法
1. 湿片法(直接镜检)

将一小段肠道置于载玻片上,加一滴生理盐水。
盖上盖玻片,低倍镜下观察是否有寄生虫、细胞碎片或异物。
2. 组织切片法(适用于病理学分析)
对肠道组织进行石蜡包埋、切片(厚约5μm)、苏丹黑染色或HE染色。
在显微镜下观察组织结构、细胞变化、炎症反应等。
3. 荧光染色或免疫组化
用于检测特定病原体(如病毒、细菌)。
四、常见镜检结果
| 观察项目 | 正常表现 | 异常表现 |
| 肠道内容物 | 均匀、无颗粒 | 含大量未消化食物、黏液、血丝 |
| 肠道上皮细胞 | 完整、排列整齐 | 脱落、坏死、水肿 |
| 寄生虫 | 无 | 有纤毛虫、线虫、孢子虫等 |
| 炎症细胞 | 无 | 浸润的白细胞、巨噬细胞 |
| 细菌/真菌 | 无 | 大量细菌、菌丝 |
五、常见寄生虫与病原体
| 寄生虫/病原体 | 特征 | 镜检特点 |
| 纤毛虫 | 单细胞生物,具纤毛 | 可见游动的纤毛虫 |
| 线虫 | 虫体呈细长形 | 可见虫体或虫卵 |
| 孢子虫 | 具有孢子结构 | 可见孢子囊或孢子 |
| 弧菌 | 革兰氏阴性杆菌 | 镜下可见杆状细菌 |
| 链球菌 | 革兰氏阳性球菌 | 可见成对或链状排列的球菌 |
六、注意事项
镜检应由专业人员操作,避免误判。
需结合其他检测手段(如PCR、培养、组织病理学)综合判断。
注意样本处理过程中的污染问题。
七、应用领域
水产养殖病害诊断

饲料质量评估
水环境健康监测
科研实验中的病理分析
猜你喜欢内容
-
南美对虾中后期脱壳
南美对虾(主要指凡纳滨对虾,*Litopenaeus vannamei*)在养殖过程中,尤其是中后...
-
养殖50天对虾多大
对虾(如凡纳滨对虾,即南美白对虾)在养殖50天后的体长会受到多种因素的影响,包...
-
低聚糖在对虾养殖
低聚糖(Oligosaccharides)在对虾养殖中被广泛用作饲料添加剂,具有多种功能,能...
-
日本对虾养殖厂
日本对虾(学名:*Penaeus japonicus*),又称日本明虾、日本虎虾,是一种广泛养殖...
-
对虾白便灵价格
“对虾白便灵”可能是指用于防治对虾(如南美白对虾)白便病的药物或添加剂。白便...
-
南美白对虾外壳发白
南美白对虾(Litopenaeus vannamei)在养殖过程中,如果出现外壳发白的现象,通常...
-
对虾肝脏保护膜
“对虾肝脏保护膜”这个术语可能是指在对虾(如凡纳滨对虾、中国对虾等)养殖过程...
-
南美白对虾春季养殖
南美白对虾(*Litopenaeus vannamei*)是目前全球养殖最广泛的对虾种类之一,因其...
-
石灰对虾有影响吗
石灰(通常指生石灰,即氧化钙,CaO)在水产养殖中有时会被使用,但对虾是有影响的...
-
白对虾苗脱壳不遂
白对虾苗在养殖过程中出现脱壳不遂(也叫“蜕壳困难”)是常见的问题,尤其是在幼...
农业知识▪优秀内容



