热门推荐
小龙虾养殖提质增效技术措施
河蟹养殖如何给螃蟹保肝护肠?料里加入它,螃蟹长得快少病害
虾类的高寿命损失:双重环境因素引发大规模死亡
淡水养殖对虾的经验分享
对虾养殖,拌料常常无效!就是你不注意这8点细节!
高温季节对虾养殖常见问题及防控要点
对虾工厂化健康养殖技术
对虾养殖指南:从入门到精通的实操经验
畜牧热门
养殖热门
花卉热门
园林热门
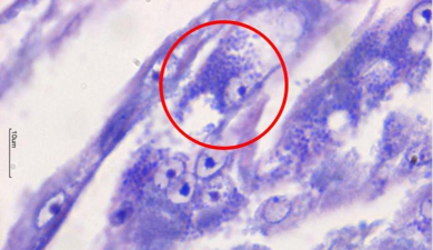
南美白对虾肠孢子
“南美白对虾肠孢子”可能是指与南美白对虾(*Litopenaeus vannamei*)相关的肠道寄生虫或病原体,其中“肠孢子”可能是对某种寄生虫的俗称或误称。在水产养殖中,南美白对虾常见的肠道寄生虫或病原体包括:

一、可能涉及的病原体
1. 肠孢子虫(Enterocytozoon hepatopenaei, EHP)
学名:*Enterocytozoon hepatopenaei*
中文名称:肝胰腺肠孢子虫
分类:属于微孢子虫门(Microsporidia)
特点:
是一种细胞内寄生的原生动物。
主要寄生于对虾的肝胰腺和中肠上皮细胞。
会导致对虾生长缓慢、摄食减少、死亡率上升。
在养殖过程中不易被肉眼发现,常通过显微镜检查或PCR检测发现。
危害:虽然不立即致死,但会严重影响对虾的生长和存活率。
2. 其他常见肠道寄生虫
毛细线虫(如 *Pseudocapillaria tomentosa*):寄生在对虾的肠道中,引起消化系统疾病。
纤毛虫类(如 *Ichthyophthirius multifiliis*):虽然主要感染鱼类,但在某些情况下也可能影响对虾。
细菌性肠炎:如副溶血弧菌(*Vibrio parahaemolyticus*)、哈氏弧菌(*Vibrio harveyi*)等,也会导致对虾肠道炎症。
二、症状表现
生长缓慢、饲料转化率低
食欲减退、空肠空胃
肝胰腺萎缩、颜色变淡

死亡率升高(尤其是幼虾)
显微镜下可见肠道或肝胰腺中有孢子或虫体
三、诊断方法
1. 显微镜检查:取对虾的肝胰腺或肠道组织,制作切片后观察是否有孢子或寄生虫。
2. PCR检测:用于检测EHP等微孢子虫的DNA。
3. 病理组织学分析:通过HE染色观察组织病变。
4. 培养法:对细菌性病原体进行分离培养。
四、防控措施
1. 种苗管理:
使用无特定病原(SPF)的种虾。
检测种虾是否携带EHP等病原。
2. 水质管理:
保持水质清洁,控制氨氮、亚硝酸盐等有害物质。
定期换水、使用生物滤材。
3. 饲料管理:
提供营养均衡的饲料,增强对虾免疫力。
避免使用腐败变质的饵料。
4. 药物防治(需谨慎使用):
对于细菌性肠炎,可使用抗生素(如氟苯尼考、恩诺沙星等),但需遵循用药规范。

对于寄生虫,目前尚无特效药,主要靠预防和改善环境。
五、
“南美白对虾肠孢子”很可能是指肝胰腺肠孢子虫(EHP),这是一种对南美白对虾养殖业造成严重威胁的病原体。其感染隐蔽性强,容易导致经济损失,因此需要加强日常监测和综合防控。
猜你喜欢内容
-
南美对虾中后期脱壳
南美对虾(主要指凡纳滨对虾,*Litopenaeus vannamei*)在养殖过程中,尤其是中后...
-
养殖50天对虾多大
对虾(如凡纳滨对虾,即南美白对虾)在养殖50天后的体长会受到多种因素的影响,包...
-
低聚糖在对虾养殖
低聚糖(Oligosaccharides)在对虾养殖中被广泛用作饲料添加剂,具有多种功能,能...
-
日本对虾养殖厂
日本对虾(学名:*Penaeus japonicus*),又称日本明虾、日本虎虾,是一种广泛养殖...
-
对虾白便灵价格
“对虾白便灵”可能是指用于防治对虾(如南美白对虾)白便病的药物或添加剂。白便...
-
南美白对虾外壳发白
南美白对虾(Litopenaeus vannamei)在养殖过程中,如果出现外壳发白的现象,通常...
-
对虾肝脏保护膜
“对虾肝脏保护膜”这个术语可能是指在对虾(如凡纳滨对虾、中国对虾等)养殖过程...
-
南美白对虾春季养殖
南美白对虾(*Litopenaeus vannamei*)是目前全球养殖最广泛的对虾种类之一,因其...
-
石灰对虾有影响吗
石灰(通常指生石灰,即氧化钙,CaO)在水产养殖中有时会被使用,但对虾是有影响的...
-
白对虾苗脱壳不遂
白对虾苗在养殖过程中出现脱壳不遂(也叫“蜕壳困难”)是常见的问题,尤其是在幼...
农业知识▪优秀内容



